WEB予約はこちら
0954-23-4820

ORTHODONTICS矯正歯科・小児矯正歯科

一般歯科

矯正歯科治療を専門に行う歯科医が、
安心できる矯正歯科治療を提供します

ORTHODONTICS

不正咬合 - あなたはどのタイプ?

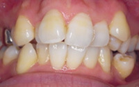
叢生(そうせい)

歯ならびがデコボコになっている状態を「叢生」といいます。顎の大きさと歯の大きさとの間のアンバランスが生じるとこのようになります。歯みがきの時に歯ブラシが行き届かずに汚れが残りやすく、虫歯や歯槽膿漏の原因となります。

叢生
BEFORE
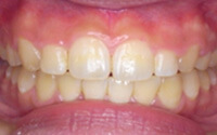
叢生
AFTER

症例集

  • 年齢
    36才女性
    主訴
    歯並びがガタガタしているのが気になる
    診断名
    • 上下叢生歯列(歯並びガタガタ)
    治療内容
    上顎唇側矯正装置(セラミックブラケット)
    下顎唇側矯正装置(メタルブラケット)
    下顎右側第一小臼歯抜歯
    動的治療期間
    2年3ヶ月
    治療にかかった費用
    • 装置料 500,000円
    • 診察料 5,000円/回
    治療について
    歯並びがガタガタしているのが気になるとのことで来院されました。でこぼこの程度が大きく下顎の右側を1本抜歯して治療を行いました。
    治療によるリスク
    • 歯根吸収(歯の根の先が短くなること)
    • 歯肉退縮(歯ぐきが下がること)
    • 歯が移動する際に生じる、痛みや違和感
    • 矯正装置の刺激による歯肉の炎症や口内炎
    • 不充分な歯磨きによる虫歯や歯の変色・歯肉炎や歯周炎
    叢生
    BEFORE
    叢生
    AFTER
症例をもっと見る
  • 年齢
    19才女性
    主訴
    歯並びがガタガタしているのが気になる
    診断名
    • 上下叢生歯列(歯並びガタガタ)、上顎前突(出っ歯)
    治療内容
    上下顎唇側矯正装置(メタルブラケット)
    上顎左右側第一小臼歯抜歯、下顎左右側第二小臼歯抜歯
    動的治療期間
    1年6ヶ月
    治療にかかった費用
    • 装置料 400,000円
    • 診察料 5,000円/回
    治療について
    歯並びがガタガタしているのが気になるとのことで来院されました。でこぼこの程度が大きく、上顎の左右1本ずつ、下顎の左右1本ずつ、計4本を抜歯して治療を行いました。
    治療によるリスク
    • 歯根吸収(歯の根の先が短くなること)
    • 歯肉退縮(歯ぐきが下がること)
    • 歯が移動する際に生じる、痛みや違和感
    • 矯正装置の刺激による歯肉の炎症や口内炎
    • 不充分な歯磨きによる虫歯や歯の変色・歯肉炎や歯周炎
    叢生
    BEFORE
    叢生
    AFTER
  • 年齢
    22才女性
    主訴
    歯並びがガタガタしているのが気になる
    診断名
    • 上下叢生歯列(歯並びガタガタ)
    治療内容
    上下顎唇側矯正装置(メタルブラケット)
    上顎左右側第一小臼歯抜歯、下顎右側第一大臼歯抜歯
    動的治療期間
    1年2ヶ月
    治療にかかった費用
    • 装置料 400,000円
    • 診察料 5,000円/回
    治療について
    歯並びがガタガタしているのが気になるとのことで来院されました。でこぼこの程度が大きく、上顎の左右1本ずつ、下顎右側の1本、計3本を抜歯して治療を行いました。
    治療によるリスク
    • 歯根吸収(歯の根の先が短くなること)
    • 歯肉退縮(歯ぐきが下がること)
    • 歯が移動する際に生じる、痛みや違和感
    • 矯正装置の刺激による歯肉の炎症や口内炎
    • 不充分な歯磨きによる虫歯や歯の変色・歯肉炎や歯周炎
    叢生
    BEFORE
    叢生
    AFTER
  • 年齢
    25才女性
    主訴
    上の前歯が出ている、下の前歯がでこぼこしているのが気になる
    診断名
    • 上顎前突(出っ歯)、下顎叢生歯列(歯並びガタガタ)
    治療内容
    上下顎唇側矯正装置(上顎:セラミックブラケット、下顎メタルブラケット)
    上下顎左右側第一小臼歯抜歯
    動的治療期間
    2年7ヶ月
    治療にかかった費用
    • 装置料 500,000円
    • 診察料 5,000円/回
    治療について
    上の前歯が出ている、下の前歯がでこぼこしているのが気になるとのことで来院されました。
    上下顎の左右1本ずつ、計4本を抜歯して治療を行いました。
    治療によるリスク
    • 歯根吸収(歯の根の先が短くなること)
    • 歯肉退縮(歯ぐきが下がること)
    • 歯が移動する際に生じる、痛みや違和感
    • 矯正装置の刺激による歯肉の炎症や口内炎
    • 不充分な歯磨きによる虫歯や歯の変色・歯肉炎や歯周炎
    叢生
    BEFORE
    叢生
    AFTER
  • 年齢
    21才男性
    主訴
    歯並びがガタガタしているのが気になる
    診断名
    • 上下叢生歯列(歯並びガタガタ)
    治療内容
    上下顎唇側矯正装置(セラミックブラケット)、
    上下顎左右側第一小臼歯抜歯
    動的治療期間
    2年4ヶ月
    治療にかかった費用
    • 装置料 600,000円
    • 診察料 5,000円/回
    治療について
    歯並びがガタガタしているのが気になるとのことで来院されました。上下顎のでこぼこの程度が大きく、上下顎の左右1本ずつ、計4本を抜歯して治療を行いました。
    治療によるリスク
    • 歯根吸収(歯の根の先が短くなること)
    • 歯肉退縮(歯ぐきが下がること)
    • 歯が移動する際に生じる、痛みや違和感
    • 矯正装置の刺激による歯肉の炎症や口内炎
    • 不充分な歯磨きによる虫歯や歯の変色・歯肉炎や歯周炎
    叢生
    BEFORE
    叢生
    AFTER
  • 年齢
    15才女性
    主訴
    歯並びがガタガタしているのが気になる
    診断名
    • 上下叢生歯列(歯並びガタガタ)
    治療内容
    上下顎唇側矯正装置(メタルブラケット)、
    上顎左右側第一小臼歯抜歯
    動的治療期間
    2年9ヶ月
    治療にかかった費用
    • 装置料 400,000円
    • 診察料 5,000円/回
    治療について
    上の歯並びがガタガタしているのが気になるとのことで来院されました。
    上顎のでこぼこの程度が大きく、上顎の左右1本ずつ、計2本を抜歯して治療を行いました。
    治療によるリスク
    • 歯根吸収(歯の根の先が短くなること)
    • 歯肉退縮(歯ぐきが下がること)
    • 歯が移動する際に生じる、痛みや違和感
    • 矯正装置の刺激による歯肉の炎症や口内炎
    • 不充分な歯磨きによる虫歯や歯の変色・歯肉炎や歯周炎
    叢生
    BEFORE
    叢生
    AFTER
  • 年齢
    25才女性
    主訴
    歯並びがガタガタしているのが気になる
    診断名
    • 上下叢生歯列(歯並びガタガタ)
    治療内容
    上顎唇側矯正装置(セラミックブラケット)、非抜歯
    動的治療期間
    8ヶ月
    治療にかかった費用
    • 装置料 300,000円
    • 診察料 5,000円/回
    治療について
    上の歯並びがガタガタしているのが気になるとのことで来院されました。
    上顎のみ装置を付けて治療を行いました。
    治療によるリスク
    • 歯根吸収(歯の根の先が短くなること)
    • 歯肉退縮(歯ぐきが下がること)
    • 歯が移動する際に生じる、痛みや違和感
    • 矯正装置の刺激による歯肉の炎症や口内炎
    • 不充分な歯磨きによる虫歯や歯の変色・歯肉炎や歯周炎
    叢生
    BEFORE
    叢生
    AFTER
  • 年齢
    25才男性
    主訴
    歯並びがガタガタしているのが気になる
    診断名
    • 上下叢生歯列(歯並びガタガタ)
    治療内容
    上下顎唇側矯正装置(セラミックブラケット)、
    上下顎左右側第一小臼歯抜歯
    動的治療期間
    2年5ヶ月
    治療にかかった費用
    • 装置料 600,000円
    • 診察料 5,000円/回
    治療について
    歯並びがガタガタしているのが気になるとのことで来院されました。上下顎のでこぼこの程度が大きく、上下顎の左右1本ずつ、計4本を抜歯して治療を行いました。
    治療によるリスク
    • 歯根吸収(歯の根の先が短くなること)
    • 歯肉退縮(歯ぐきが下がること)
    • 歯が移動する際に生じる、痛みや違和感
    • 矯正装置の刺激による歯肉の炎症や口内炎
    • 不充分な歯磨きによる虫歯や歯の変色・歯肉炎や歯周炎
    叢生
    BEFORE
    叢生
    AFTER
  • 年齢
    17才女性
    主訴
    歯並びがガタガタしているのが気になる
    診断名
    • 上顎叢生歯列(歯並びガタガタ)
    治療内容
    上下顎唇側矯正装置(上顎:セラミックブラケット、下顎メタルブラケット)
    上顎左側第一小臼歯抜歯
    動的治療期間
    2年3ヶ月
    治療にかかった費用
    • 装置料 500,000円
    • 診察料 5,000円/回
    治療について
    上の歯並びがガタガタしているのが気になるとのことで来院されました。
    上顎のでこぼこの程度が大きく、上顎の左の1本を抜歯して治療を行いました。
    治療によるリスク
    • 歯根吸収(歯の根の先が短くなること)
    • 歯肉退縮(歯ぐきが下がること)
    • 歯が移動する際に生じる、痛みや違和感
    • 矯正装置の刺激による歯肉の炎症や口内炎
    • 不充分な歯磨きによる虫歯や歯の変色・歯肉炎や歯周炎
    叢生
    BEFORE
    叢生
    AFTER
  • 年齢
    36才女性
    主訴
    歯並びがガタガタしているのが気になる
    診断名
    • 上下叢生歯列(歯並びガタガタ)
    治療内容
    上下顎唇側矯正装置(セラミックブラケット)
    動的治療期間
    1年7ヶ月
    治療にかかった費用
    • 装置料 600,000円
    • 診察料 5,000円/回
    治療について
    歯並びがガタガタしているのが気になるとのことで来院されました。
    でこぼこの程度は小さく、上下とも歯を抜かずに治療を行ったため、抜歯をする場合の矯正治療と比較して短期間で治療を終えることができました。
    治療によるリスク
    • 歯根吸収(歯の根の先が短くなること)
    • 歯肉退縮(歯ぐきが下がること)
    • 歯が移動する際に生じる、痛みや違和感
    • 矯正装置の刺激による歯肉の炎症や口内炎
    • 不充分な歯磨きによる虫歯や歯の変色・歯肉炎や歯周炎
    叢生
    BEFORE
    叢生
    AFTER
  • 年齢
    11才女性
    主訴
    歯並びがガタガタしているのが気になる
    診断名
    • 上下叢生歯列(歯並びガタガタ)
    治療内容
    上下顎唇側矯正装置(メタルブラケット)
    上下顎左右側第二小臼歯抜歯
    動的治療期間
    3年3ヶ月
    治療にかかった費用
    • 装置料 400,000円
    • 診察料 5,000円/回
    治療について
    歯並びがガタガタしているのが気になるとのことで来院されました。でこぼこの程度が大きく、上下顎の左右1本ずつ、計4本を抜歯して治療を行いました。
    治療によるリスク
    • 歯根吸収(歯の根の先が短くなること)
    • 歯肉退縮(歯ぐきが下がること)
    • 歯が移動する際に生じる、痛みや違和感
    • 矯正装置の刺激による歯肉の炎症や口内炎
    • 不充分な歯磨きによる虫歯や歯の変色・歯肉炎や歯周炎
    叢生
    BEFORE
    叢生
    AFTER
  • 年齢
    19才女性
    主訴
    歯並びがガタガタしているのが気になる
    診断名
    • 上顎前突(出っ歯)
    • 上顎叢生歯列(歯並びガタガタ)
    治療内容
    上下顎唇側矯正装置(上顎:セラミックブラケット、下顎メタルブラケット)
    上顎右側第二小臼歯抜歯、左側第一小臼歯抜歯
    動的治療期間
    2年
    治療にかかった費用
    • 装置料 500,000円
    • 診察料 5,000円/回
    治療について
    上の歯が出ている、上の歯がでこぼこしているのが気になるとのことで来院されました。
    上顎の左右1本ずつ、計2本を抜歯して治療を行いました。
    治療によるリスク
    • 歯根吸収(歯の根の先が短くなること)
    • 歯肉退縮(歯ぐきが下がること)
    • 歯が移動する際に生じる、痛みや違和感
    • 矯正装置の刺激による歯肉の炎症や口内炎
    • 不充分な歯磨きによる虫歯や歯の変色・歯肉炎や歯周炎
    叢生
    BEFORE
    叢生
    AFTER
  • 年齢
    26才女性
    主訴
    歯並びがガタガタしているのが気になる
    診断名
    • 上顎叢生歯列(歯並びガタガタ)
    治療内容
    上下顎唇側矯正装置(セラミックブラケット)、
    上顎右側第一小臼歯、左側第二小臼歯抜歯
    動的治療期間
    2年4ヶ月
    治療にかかった費用
    • 装置料 600,000円
    • 診察料 5,000円/回
    治療について
    歯並びがガタガタしているのが気になるとのことで来院されました。
    上顎のでこぼこの程度が大きく、上顎の左右1本ずつ、計2本を抜歯して治療を行いました。
    治療によるリスク
    • 歯根吸収(歯の根の先が短くなること)
    • 歯肉退縮(歯ぐきが下がること)
    • 歯が移動する際に生じる、痛みや違和感
    • 矯正装置の刺激による歯肉の炎症や口内炎
    • 不充分な歯磨きによる虫歯や歯の変色・歯肉炎や歯周炎
    叢生
    BEFORE
    叢生
    AFTER
  • 年齢
    24才女性
    主訴
    歯並びがガタガタしているのが気になる
    診断名
    • 上顎叢生歯列(歯並びガタガタ)
    治療内容
    上下顎唇側矯正装置(上顎:セラミックブラケット、下顎メタルブラケット)
    上顎左右側第一小臼歯抜歯
    動的治療期間
    1年11ヶ月
    治療にかかった費用
    • 装置料 500,000円
    • 診察料 5,000円/回
    治療について
    上の歯並びがガタガタしているのが気になるとのことで来院されました。
    上顎のでこぼこの程度が大きく、上顎の左右1本ずつ、計2本を抜歯して治療を行いました。
    治療によるリスク
    • 歯根吸収(歯の根の先が短くなること)
    • 歯肉退縮(歯ぐきが下がること)
    • 歯が移動する際に生じる、痛みや違和感
    • 矯正装置の刺激による歯肉の炎症や口内炎
    • 不充分な歯磨きによる虫歯や歯の変色・歯肉炎や歯周炎
    叢生
    BEFORE
    叢生
    AFTER
  • 年齢
    41才女性
    主訴
    歯並びがガタガタしているのが気になる
    診断名
    • 上顎叢生歯列(歯並びガタガタ)
    治療内容
    上下顎唇側矯正装置(セラミックブラケット)、
    上顎左右側第一小臼歯抜歯
    動的治療期間
    3年2ヶ月
    治療にかかった費用
    • 装置料 600,000円
    • 診察料 5,000円/回
    治療について
    歯並びがガタガタしているのが気になるとのことで来院されました。上顎のでこぼこの程度が大きく、上顎の左右1本ずつ、計2本を抜歯して治療を行いました。
    治療によるリスク
    • 歯根吸収(歯の根の先が短くなること)
    • 歯肉退縮(歯ぐきが下がること)
    • 歯が移動する際に生じる、痛みや違和感
    • 矯正装置の刺激による歯肉の炎症や口内炎
    • 不充分な歯磨きによる虫歯や歯の変色・歯肉炎や歯周炎
    叢生
    BEFORE
    叢生
    AFTER
  • 年齢
    12才女性
    主訴
    歯並びがガタガタしているのが気になる
    診断名
    • 上下叢生歯列(歯並びガタガタ)
    治療内容
    上下顎唇側矯正装置(メタルブラケット)
    上顎左右側第一小臼歯抜歯、下顎左右側第二小臼歯抜歯
    動的治療期間
    2年5ヶ月
    治療にかかった費用
    • 装置料 400,000円
    • 診察料 5,000円/回
    治療について
    歯並びがガタガタしているのが気になるとのことで来院されました。
    上下顎のでこぼこの程度が大きく、上下顎の左右1本ずつ、計4本を抜歯して治療を行いました。
    治療によるリスク
    • 歯根吸収(歯の根の先が短くなること)
    • 歯肉退縮(歯ぐきが下がること)
    • 歯が移動する際に生じる、痛みや違和感
    • 矯正装置の刺激による歯肉の炎症や口内炎
    • 不充分な歯磨きによる虫歯や歯の変色・歯肉炎や歯周炎
    叢生
    BEFORE
    叢生
    AFTER
  • 年齢
    23才女性
    主訴
    歯並びがガタガタしているのが気になる
    診断名
    • 上下叢生歯列(歯並びガタガタ)
    治療内容
    上下顎唇側矯正装置(上顎:セラミックブラケット、下顎メタルブラケット)
    上顎右側第二小臼歯抜歯、左側第一大臼歯抜歯、下顎左右側第二小臼歯抜歯
    動的治療期間
    2年4ヶ月
    治療にかかった費用
    • 装置料 500,000円
    • 診察料 5,000円/回
    治療について
    前歯が咬み合わない、歯並びがガタガタしているのが気になるとのことで来院されました。
    上下顎のでこぼこの程度が大きく、上下顎の左右1本ずつ、計4本を抜歯して治療を行いました。
    治療によるリスク
    • 歯根吸収(歯の根の先が短くなること)
    • 歯肉退縮(歯ぐきが下がること)
    • 歯が移動する際に生じる、痛みや違和感
    • 矯正装置の刺激による歯肉の炎症や口内炎
    • 不充分な歯磨きによる虫歯や歯の変色・歯肉炎や歯周炎
    叢生
    BEFORE
    叢生
    AFTER
  • 年齢
    11才女性
    主訴
    歯並びがガタガタしているのが気になる
    診断名
    • 上下叢生歯列(歯並びガタガタ)
    治療内容
    上下顎唇側矯正装置(メタルブラケット)
    上下顎左右側第一小臼歯抜歯
    動的治療期間
    2年9ヶ月
    治療にかかった費用
    • 装置料 400,000円
    • 診察料 5,000円/回
    治療について
    歯並びがガタガタしているのが気になるとのことで来院されました。上下顎のでこぼこの程度が大きく、上下顎の左右1本ずつ、計4本を抜歯して治療を行いました。
    治療によるリスク
    • 歯根吸収(歯の根の先が短くなること)
    • 歯肉退縮(歯ぐきが下がること)
    • 歯が移動する際に生じる、痛みや違和感
    • 矯正装置の刺激による歯肉の炎症や口内炎
    • 不充分な歯磨きによる虫歯や歯の変色・歯肉炎や歯周炎
    叢生
    BEFORE
    叢生
    AFTER
  • 年齢
    14才男性
    主訴
    歯並びがガタガタしているのが気になる
    診断名
    • 上下叢生歯列(歯並びガタガタ)
    治療内容
    上下顎唇側矯正装置(メタルブラケット)
    上下顎左右側第一小臼歯抜歯
    動的治療期間
    2年
    治療にかかった費用
    • 装置料 400,000円
    • 診察料 5,000円/回
    治療について
    歯並びがガタガタしているのが気になるとのことで来院されました。上下顎のでこぼこの程度が大きく、上下顎の左右1本ずつ、計4本を抜歯して治療を行いました。
    治療によるリスク
    • 歯根吸収(歯の根の先が短くなること)
    • 歯肉退縮(歯ぐきが下がること)
    • 歯が移動する際に生じる、痛みや違和感
    • 矯正装置の刺激による歯肉の炎症や口内炎
    • 不充分な歯磨きによる虫歯や歯の変色・歯肉炎や歯周炎
    叢生
    BEFORE
    叢生
    AFTER
  • 年齢
    15才女性
    主訴
    前歯が咬み合わない、歯並びがガタガタしているのが気になる
    診断名
    • 開咬(前歯が咬み合わない)
    • 上下叢生歯列(歯並びガタガタ)
    治療内容
    上下顎唇側矯正装置(上顎:セラミックブラケット、下顎メタルブラケット)
    上顎左右側第一小臼歯抜歯、下顎左右側第二小臼歯抜歯
    動的治療期間
    1年9ヶ月
    治療にかかった費用
    • 装置料 500,000円
    • 診察料 5,000円/回
    治療について
    前歯が咬み合わない、歯並びがガタガタしているのが気になるとのことで来院されました。
    上下顎のでこぼこの程度が大きく、上下顎の左右1本ずつ、計4本を抜歯して治療を行いました。
    治療によるリスク
    • 歯根吸収(歯の根の先が短くなること)
    • 歯肉退縮(歯ぐきが下がること)
    • 歯が移動する際に生じる、痛みや違和感
    • 矯正装置の刺激による歯肉の炎症や口内炎
    • 不充分な歯磨きによる虫歯や歯の変色・歯肉炎や歯周炎
    叢生
    BEFORE
    叢生
    AFTER
  • 年齢
    43才男性
    主訴
    歯並びがガタガタしているのが気になる
    診断名
    • 上下叢生歯列(歯並びガタガタ)
    治療内容
    マウスピース型矯正装置(インビザライン)
    動的治療期間
    3年4ヶ月
    治療にかかった費用
    • 装置料 700,000円
    • 診察料 5,000円/回
    治療について
    歯並びがガタガタしているのが気になるとのことで来院されました。治療中の見た目が気になるとのことで、唇側矯正装置であるブラケットによる治療ではなく、マウスピース型矯正装置(インビザライン)による治療を行いました。
    治療によるリスク
    • 歯根吸収(歯の根の先が短くなること)
    • 歯肉退縮(歯ぐきが下がること)
    • 歯が移動する際に生じる、痛みや違和感
    • 矯正装置の刺激による歯肉の炎症や口内炎
    • 不充分な歯磨きによる虫歯や歯の変色・歯肉炎や歯周炎
    ※インビザライン完成物は医療機器法対象外であり、医薬品副作用被害救済制度の対象外の場合があります。
    叢生
    BEFORE
    叢生
    AFTER
  • 年齢
    32才女性
    主訴
    歯並びがガタガタしているのが気になる
    診断名
    • 上下叢生歯列(歯並びガタガタ)
    治療内容
    上下顎唇側矯正装置(セラミックブラケット)、
    上顎右側第二小臼歯、左側第一小臼歯抜歯、
    下顎左右側第二小臼歯抜歯
    動的治療期間
    2年7ヶ月
    治療にかかった費用
    • 装置料 600,000円
    • 診察料 5,000円/回
    治療について
    歯並びがガタガタしているのが気になるとのことで来院されました。上下顎のでこぼこの程度が大きく、上下顎の左右1本ずつ、計4本を抜歯して治療を行いました。
    治療によるリスク
    • 歯根吸収(歯の根の先が短くなること)
    • 歯肉退縮(歯ぐきが下がること)
    • 歯が移動する際に生じる、痛みや違和感
    • 矯正装置の刺激による歯肉の炎症や口内炎
    • 不充分な歯磨きによる虫歯や歯の変色・歯肉炎や歯周炎
    叢生
    BEFORE
    叢生
    AFTER
  • 年齢
    18才女性
    主訴
    歯並びがガタガタしているのが気になる
    診断名
    • 上下叢生歯列(歯並びガタガタ)
    治療内容
    上下顎唇側矯正装置(セラミックブラケット)、
    上顎左右側第一小臼歯抜歯、下顎右側第二小臼歯、左側第一小臼歯抜歯
    動的治療期間
    2年3ヶ月
    治療にかかった費用
    • 装置料 600,000円
    • 診察料 5,000円/回
    治療について
    歯並びがガタガタしているのが気になるとのことで来院されました。上下顎のでこぼこの程度が大きく、上下顎の左右1本ずつ、計4本を抜歯して治療を行いました。
    治療によるリスク
    • 歯根吸収(歯の根の先が短くなること)
    • 歯肉退縮(歯ぐきが下がること)
    • 歯が移動する際に生じる、痛みや違和感
    • 矯正装置の刺激による歯肉の炎症や口内炎
    • 不充分な歯磨きによる虫歯や歯の変色・歯肉炎や歯周炎
    叢生
    BEFORE
    叢生
    AFTER
  • 年齢
    28才女性
    主訴
    歯並びがガタガタしているのが気になる
    診断名
    • 上下叢生歯列(歯並びガタガタ)
    治療内容
    上下顎唇側矯正装置(上顎:セラミックブラケット、下顎メタルブラケット)、非抜歯
    動的治療期間
    1年10ヶ月
    治療にかかった費用
    • 装置料 500,000円
    • 診察料 5,000円/回
    治療について
    歯並びがガタガタしているのが気になるとのことで来院されました。でこぼこの程度は小さく、上下とも歯を抜かずに治療を行ったため、抜歯をする場合の矯正治療と比較して短期間で治療を終えることができました。
    治療によるリスク
    • 歯根吸収(歯の根の先が短くなること)
    • 歯肉退縮(歯ぐきが下がること)
    • 歯が移動する際に生じる、痛みや違和感
    • 矯正装置の刺激による歯肉の炎症や口内炎
    • 不充分な歯磨きによる虫歯や歯の変色・歯肉炎や歯周炎
    叢生
    BEFORE
    叢生
    AFTER
  • 年齢
    15才女性
    主訴
    歯並びがガタガタしているのが気になる
    診断名
    • 上下叢生歯列(歯並びガタガタ)
    治療内容
    上下顎唇側矯正装置(メタルブラケット)、非抜歯
    動的治療期間
    1年6ヶ月
    治療にかかった費用
    • 装置料 400,000円
    • 診察料 5,000円/回
    治療について
    歯並びがガタガタしているのが気になるとのことで来院されました。でこぼこの程度は小さく、上下とも歯を抜かずに治療を行ったため、抜歯をする場合の矯正治療と比較して短期間で治療を終えることができました。
    治療によるリスク
    • 歯根吸収(歯の根の先が短くなること)
    • 歯肉退縮(歯ぐきが下がること)
    • 歯が移動する際に生じる、痛みや違和感
    • 矯正装置の刺激による歯肉の炎症や口内炎
    • 不充分な歯磨きによる虫歯や歯の変色・歯肉炎や歯周炎
    叢生
    BEFORE
    叢生
    AFTER
  • 14歳男性

    年齢
    14才男性
    主訴
    歯並びがガタガタしているのが気になる
    診断名
    • 上下叢生歯列(歯並びガタガタ)
    治療内容
    上下顎唇側矯正装置(メタルブラケット)、非抜歯
    動的治療期間
    1年4ヶ月
    治療にかかった費用
    • 装置料 400,000円
    • 診察料 5,000円/回
    治療について
    歯並びがガタガタしているのが気になるとのことで来院されました。でこぼこの程度は小さく、上下とも歯を抜かずに治療を行ったため、抜歯をする場合の矯正治療と比較して短期間で治療を終えることができました。
    治療によるリスク
    • 歯根吸収(歯の根の先が短くなること)
    • 歯肉退縮(歯ぐきが下がること)
    • 歯が移動する際に生じる、痛みや違和感
    • 矯正装置の刺激による歯肉の炎症や口内炎
    • 不充分な歯磨きによる虫歯や歯の変色・歯肉炎や歯周炎
    叢生
    BEFORE
    叢生
    AFTER
  • 27歳女性

    年齢
    27才女性
    主訴
    歯並びがガタガタしているのが気になる
    診断名
    • 上下叢生歯列(歯並びガタガタ)
    • 上顎犬歯唇側転位(八重歯)
    治療内容
    上下顎唇側矯正装置(セラミックブラケット)、上顎左右側第一小臼歯抜歯
    動的治療期間
    1年10ヶ月
    治療にかかった費用
    • 装置料 600,000円
    • 診察料 5,000円/回
    治療について
    歯並びがガタガタしているのが気になるとのことで来院されました。上顎のでこぼこの程度が大きく、上顎の左右1本ずつを抜歯して治療を行いました。
    治療によるリスク
    • 歯根吸収(歯の根の先が短くなること)
    • 歯肉退縮(歯ぐきが下がること)
    • 歯が移動する際に生じる、痛みや違和感
    • 矯正装置の刺激による歯肉の炎症や口内炎
    • 不充分な歯磨きによる虫歯や歯の変色・歯肉炎や歯周炎
    叢生
    BEFORE
    叢生
    AFTER
  • 15歳女性

    年齢
    15歳女性
    主訴
    歯並びがガタガタしているのが気になる
    診断名
    • 上下叢生歯列(歯並びガタガタ)
    • 犬歯唇側転位(八重歯)
    治療内容
    上下顎唇側矯正装置(セラミックブラケット) 、
    非抜歯
    動的治療期間
    1年3ヶ月
    治療にかかった費用
    • 装置料 600,000円
    • 診察料 5,000円/回
    治療について
    歯並びがガタガタしているのが気になるとのことで来院されました。でこぼこの程度は小さく、上下とも歯を抜かずに治療を行ったため、抜歯をする場合の矯正治療と比較して短期間で治療を終えることができました。
    治療によるリスク
    • 歯根吸収(歯の根の先が短くなること)
    • 歯肉退縮(歯ぐきが下がること)
    • 歯が移動する際に生じる、痛みや違和感
    • 矯正装置の刺激による歯肉の炎症や口内炎
    • 不充分な歯磨きによる虫歯や歯の変色・歯肉炎や歯周炎
    叢生
    BEFORE
    叢生
    AFTER

上顎前突(じょうがくぜんとつ)

上顎前突とは、上顎が下顎よりも前に出ている歯並びのことで、いわゆる「出っ歯」のことをいいます。上顎が大きい、下顎が小さい、などが原因となりますが、顎骨の大きさに問題がない場合には、指しゃぶりや、舌で上顎の前歯を押す癖があるなど、何らかの力が加わったことが原因と考えられます。この状態では、口を楽に閉じることができませんし、顔のケガで前歯を折ったり、くちびるを切ったりしやすいです。また、外見の特徴として、唇が閉じにくい、笑うと歯ぐきが目立つ、などがあります。この症状があると、噛み合わせが悪くなって咀嚼がうまくできません。また、噛むときに下あごを前にずらす癖がつき、顎の関節に負担がかかってしまいます。

上顎前突
BEFORE
上顎前突
AFTER

症例集

  • 年齢
    12才男性
    主訴
    上の歯が出ているのが気になる
    診断名
    • 上顎前突(出っ歯)
    治療内容
    上下顎唇側矯正装置(メタルブラケット)
    上顎左右側第一小臼歯抜歯、下顎左側第一小臼歯抜歯
    動的治療期間
    2年3ヶ月
    治療にかかった費用
    • 装置料 400,000円
    • 診察料 5,000円/回
    治療について
    上の歯が出ているのが気になるとのことで来院されました。上顎の左右1本ずつ、下顎左側の1本、計3本を抜歯して治療を行いました。
    治療によるリスク
    • 歯根吸収(歯の根の先が短くなること)
    • 歯肉退縮(歯ぐきが下がること)
    • 歯が移動する際に生じる、痛みや違和感
    • 矯正装置の刺激による歯肉の炎症や口内炎
    • 不充分な歯磨きによる虫歯や歯の変色・歯肉炎や歯周炎
    叢生
    BEFORE
    叢生
    AFTER
症例をもっと見る
  • 年齢
    19才女性
    主訴
    歯並びがガタガタしているのが気になる
    診断名
    • 上下叢生歯列(歯並びガタガタ)、上顎前突(出っ歯)
    治療内容
    上下顎唇側矯正装置(メタルブラケット)
    上顎左右側第一小臼歯抜歯、下顎左右側第二小臼歯抜歯
    動的治療期間
    1年6ヶ月
    治療にかかった費用
    • 装置料 400,000円
    • 診察料 5,000円/回
    治療について
    歯並びがガタガタしているのが気になるとのことで来院されました。でこぼこの程度が大きく、上顎の左右1本ずつ、下顎の左右1本ずつ、計4本を抜歯して治療を行いました。
    治療によるリスク
    • 歯根吸収(歯の根の先が短くなること)
    • 歯肉退縮(歯ぐきが下がること)
    • 歯が移動する際に生じる、痛みや違和感
    • 矯正装置の刺激による歯肉の炎症や口内炎
    • 不充分な歯磨きによる虫歯や歯の変色・歯肉炎や歯周炎
    叢生
    BEFORE
    叢生
    AFTER
  • 年齢
    25才女性
    主訴
    上の前歯が出ている、下の前歯がでこぼこしているのが気になる
    診断名
    • 上顎前突(出っ歯)、下顎叢生歯列(歯並びガタガタ)
    治療内容
    上下顎唇側矯正装置(上顎:セラミックブラケット、下顎メタルブラケット)
    上下顎左右側第一小臼歯抜歯
    動的治療期間
    2年7ヶ月
    治療にかかった費用
    • 装置料 500,000円
    • 診察料 5,000円/回
    治療について
    上の前歯が出ている、下の前歯がでこぼこしているのが気になるとのことで来院されました。
    上下顎の左右1本ずつ、計4本を抜歯して治療を行いました。
    治療によるリスク
    • 歯根吸収(歯の根の先が短くなること)
    • 歯肉退縮(歯ぐきが下がること)
    • 歯が移動する際に生じる、痛みや違和感
    • 矯正装置の刺激による歯肉の炎症や口内炎
    • 不充分な歯磨きによる虫歯や歯の変色・歯肉炎や歯周炎
    上顎前突
    BEFORE
    上顎前突
    AFTER
  • 年齢
    27才女性
    主訴
    上の前歯が出ているのが気になる
    診断名
    • 上顎前突(出っ歯)
    治療内容
    上下顎唇側矯正装置(上顎:セラミックブラケット、下顎メタルブラケット)
    上顎左右側第一小臼歯抜歯、
    下顎右側第二小臼歯、左側第一小臼歯抜歯
    動的治療期間
    2年3ヶ月
    治療にかかった費用
    • 装置料 500,000円
    • 診察料 5,000円/回
    治療について
    上の歯が出ているのが気になるとのことで来院されました。
    上下顎の左右1本ずつ、計4本を抜歯して治療を行いました。
    治療によるリスク
    • 歯根吸収(歯の根の先が短くなること)
    • 歯肉退縮(歯ぐきが下がること)
    • 歯が移動する際に生じる、痛みや違和感
    • 矯正装置の刺激による歯肉の炎症や口内炎
    • 不充分な歯磨きによる虫歯や歯の変色・歯肉炎や歯周炎
    上顎前突
    BEFORE
    上顎前突
    AFTER
  • 年齢
    19才女性
    主訴
    歯並びがガタガタしているのが気になる
    診断名
    • 上顎前突(出っ歯)
    • 上顎叢生歯列(歯並びガタガタ)
    治療内容
    上下顎唇側矯正装置(上顎:セラミックブラケット、下顎メタルブラケット)
    上顎右側第二小臼歯抜歯、左側第一小臼歯抜歯
    動的治療期間
    2年
    治療にかかった費用
    • 装置料 500,000円
    • 診察料 5,000円/回
    治療について
    上の歯が出ている、上の歯がでこぼこしているのが気になるとのことで来院されました。
    上顎の左右1本ずつ、計2本を抜歯して治療を行いました。
    治療によるリスク
    • 歯根吸収(歯の根の先が短くなること)
    • 歯肉退縮(歯ぐきが下がること)
    • 歯が移動する際に生じる、痛みや違和感
    • 矯正装置の刺激による歯肉の炎症や口内炎
    • 不充分な歯磨きによる虫歯や歯の変色・歯肉炎や歯周炎
    上顎前突
    BEFORE
    上顎前突
    AFTER
  • 年齢
    23才女性
    主訴
    上の前歯が出ているのが気になる
    診断名
    • 上顎前突(出っ歯)
    治療内容
    上下顎唇側矯正装置(セラミックブラケット)、
    上顎左右側第一小臼歯抜歯
    動的治療期間
    2年5ヶ月
    治療にかかった費用
    • 装置料 600,000円
    • 診察料 5,000円/回
    治療について
    上の歯が出ているのが気になるとのことで来院されました。
    上顎の左右1本ずつ、計2本を抜歯して治療を行いました。
    治療によるリスク
    • 歯根吸収(歯の根の先が短くなること)
    • 歯肉退縮(歯ぐきが下がること)
    • 歯が移動する際に生じる、痛みや違和感
    • 矯正装置の刺激による歯肉の炎症や口内炎
    • 不充分な歯磨きによる虫歯や歯の変色・歯肉炎や歯周炎
    上顎前突
    BEFORE
    上顎前突
    AFTER
  • 年齢
    15才女性
    主訴
    上の前歯が出ているのが気になる
    診断名
    • 上顎前突(出っ歯)
    • 空隙歯列(すきっ歯)
    治療内容
    上下顎唇側矯正装置(メタルブラケット)
    動的治療期間
    1年5ヶ月
    治療にかかった費用
    • 装置料 400,000円
    • 診察料 5,000円/回
    治療について
    上の歯が出ているのが気になるとのことで来院されました。
    上下とも歯を抜かずに治療を行ったため、抜歯をする場合の矯正治療と比較して短期間で治療を終えることができました。
    治療によるリスク
    • 歯根吸収(歯の根の先が短くなること)
    • 歯肉退縮(歯ぐきが下がること)
    • 歯が移動する際に生じる、痛みや違和感
    • 矯正装置の刺激による歯肉の炎症や口内炎
    • 不充分な歯磨きによる虫歯や歯の変色・歯肉炎や歯周炎
    上顎前突
    BEFORE
    上顎前突
    AFTER

反対咬合(下顎前突)はんたいこうごう(かがくぜんとつ)

下顎前突とは、下顎が上顎よりも前に出ている歯並びのことで、いわゆる「受け口」のこといい、「反対咬合」とも呼ばれます。上下の前歯の傾きに問題がある場合と、下の顎が大きすぎたり、上の顎が小さすぎることによる場合とがあります。この症状があると、うまく噛めないだけでなく、聞き取りにくい話し方になることが多いです。

反対咬合
BEFORE
反対咬合
AFTER

症例集

  • 年齢
    27才男性
    主訴
    下の前歯が出ているのが気になる
    診断名
    • 下顎前突(受け口)
    治療内容
    上下顎唇側矯正装置(メタルブラケット)
    上下骨切り術を併用
    動的治療期間
    2年9ヶ月
    治療にかかった費用
    500,000~600,000円
    治療について
    下の前歯が出ているのが気になるとのことで来院されました。
    矯正治療単独での改善は困難だったため、上下骨切り術を併用した矯正治療を行いました。
    治療によるリスク
    • 歯根吸収(歯の根の先が短くなること)
    • 歯肉退縮(歯ぐきが下がること)
    • 歯が移動する際に生じる、痛みや違和感
    • 矯正装置の刺激による歯肉の炎症や口内炎
    • 不充分な歯磨きによる虫歯や歯の変色・歯肉炎や歯周炎
    反対咬合
    BEFORE
    反対咬合
    AFTER
症例をもっと見る
  • 年齢
    23才男性
    主訴
    上顎左側の前歯の咬み合わせが気になる
    診断名
    • 部分的な反対咬合(部分的な受け口)
    治療内容
    治療内容 上下顎唇側矯正装置(セラミックブラケット)、非抜歯
    動的治療期間
    2年1ヶ月
    治療にかかった費用
    • 装置料 600,000円
    • 診察料 5,000円/回
    治療について
    上顎左側の前歯の咬み合わせが気になるとのことで来院されました。
    上下とも歯を抜かずに治療を行ったため、抜歯をする場合の矯正治療と比較して短期間で治療を終えることができました。
    治療によるリスク
    • 歯根吸収(歯の根の先が短くなること)
    • 歯肉退縮(歯ぐきが下がること)
    • 歯が移動する際に生じる、痛みや違和感
    • 矯正装置の刺激による歯肉の炎症や口内炎
    • 不充分な歯磨きによる虫歯や歯の変色・歯肉炎や歯周炎
    反対咬合
    BEFORE
    反対咬合
    AFTER

開咬(かいこう)

噛んできても、特に前歯が噛み合わない状態です。前歯で食べ物をうまく噛みきることができないだけでなく、正しい発音ができないことが多いです。幼稚園児や小学生になっても、指しゃぶりを続けていることが原因になることもあります。他には「舌」の悪い癖や遺伝的な問題も原因となります。この症状があると、咀嚼がうまくできないだけではなく、発音も悪くなってしまいます。

開咬
BEFORE
開咬
AFTER

症例集

  • 年齢
    15才女性
    主訴
    前歯が咬み合わない、歯並びがガタガタしているのが気になる
    診断名
    • 開咬(前歯が咬み合わない)
    • 上下叢生歯列(歯並びガタガタ)
    治療内容
    上下顎唇側矯正装置(上顎:セラミックブラケット、下顎メタルブラケット)
    上顎左右側第一小臼歯抜歯、下顎左右側第二小臼歯抜歯
    動的治療期間
    1年9ヶ月
    治療にかかった費用
    • 装置料 500,000円
    • 診察料 5,000円/回
    治療について
    前歯が咬み合わない、歯並びがガタガタしているのが気になるとのことで来院されました。
    上下顎のでこぼこの程度が大きく、上下顎の左右1本ずつ、計4本を抜歯して治療を行いました。
    治療によるリスク
    • 歯根吸収(歯の根の先が短くなること)
    • 歯肉退縮(歯ぐきが下がること)
    • 歯が移動する際に生じる、痛みや違和感
    • 矯正装置の刺激による歯肉の炎症や口内炎
    • 不充分な歯磨きによる虫歯や歯の変色・歯肉炎や歯周炎
    開咬
    BEFORE
    開咬
    AFTER