WEB予約はこちら
0954-23-4820

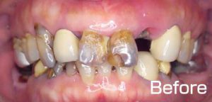
before1309

  • 2016年11月25日

コメントを残す

メールアドレスが公開されることはありません。 が付いている欄は必須項目です

CAPTCHA